Dental Implants Melbourne

If you ever find yourself needing dental implants in Melbourne, book an appointment with Carnegie Dental.

We are experts in restorative dentistry and have several years of experience performing dental implant procedures that restore people's smiles and confidence.

We are committed to providing empathetic and high-quality cosmetic dental treatments to all our patients and pride ourselves on offering tailored care that focuses on what is best for their needs.

All dental implant surgery is carried out in our state-of-the-art practice on cutting-edge equipment, and we offer various payment plans to help make the treatment more affordable.

Contact Us
Book Now

What are Dental Implants?

Dental implants are artificial tooth roots that provide a permanent base for fixed, replacement teeth. Compared to dentures, bridges and crowns, dental implants are a popular and effective long-term solution for people who suffer from missing teeth, failing teeth or chronic dental health problems.

Because they fit, feel and function like natural teeth, dental implants are quickly becoming a new standard in tooth replacement.

What makes dental implants feel completely comfortable and secure? Doctors use a medical-grade titanium implant fixture that, over time, actually fuses to the living bone cells of the jaw.

This union forms a strong and durable anchor for your new teeth, meaning there's no slippage or other movement (which can sometimes happen with dentures).

There are also no problems eating with these types of dental treatments, no need to repair them regularly and no more worrying about smiling freely and openly.

Contact Us
Book Now

Dr. Nathan Rosenbaum has been surgically placing and restoring dental implants in Melbourne since 2003. Dr. Rosenbaum was in the first cohort in Australia to complete a postgraduate diploma in Dental Implantology.

Dr. Rosenbaum's passion is the rehabilitation of hopeless mouths using dental implant surgery.

My very first dental implant case involved helping a young man who had lost his front teeth in a car accident.

Over 20 years later he still looks great and has had no issues with his bridge or implants. “I love using dental implants to really change someone’s life”.

For over 20 years Dr. Rosenbaum has been refining his surgical and restorative techniques and has a vast array of experience in all aspects of dental implantology.

The Carnegie Dental Implant Centre aims to create predictable long term outcomes. “I love it when patients return 5, 10, or now 20 years later and tell me how happy they are with the work I did. It proves it has withstood the test of time”.

Types of Dental Implants

1) The implant: A screw that serves as a root for your new teeth. This is what permanently attaches to your jaw.

2) The abutment: A permanent, but removable by your doctor, connector that supports and holds a tooth or set of teeth.

3) The crown (or prosthetic tooth): This is the part of the tooth that you can see. It’s usually made of zirconium or porcelain for durability and good looks.

You can use dental implants to replace a single tooth, multiple teeth or a full upper and/or lower set of teeth. If you need to restore a full arch, you may be a perfect candidate for the all-on-four treatment. Surgeons will place four implants and then attach a full arch of teeth, giving the procedure its name (all teeth, only four implants).

Just as dental implants have emerged as the preferred choice for tooth replacement, the Carnegie Dental Group approach has become the preferred model for dental implant treatment.

One team. One cost. One location. That's the real beauty of a high quality dental implant from the Carnegie Dental Group.

Patients who need to replace a full upper and/or lower set of teeth can now receive all-on-four implants. An oral surgeon will place 4 implants and then attach a full arch of teeth, giving the procedure its name.

Learn more

Occasionally a patient is missing more than one tooth, but still has healthy gums and surrounding teeth, and a multiple implant is the best solution. Two fixtures are implanted and the crown is attached, leaving other natural teeth intact. The multiple implants is not for everyone, and even if a patient is only missing a few teeth, it may still be preferable to perform an all-on-four procedure.

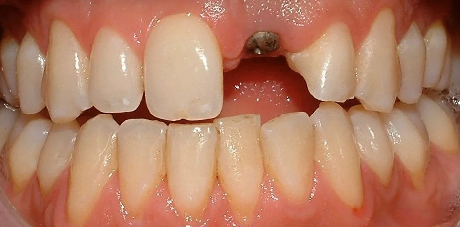
If you have lost a single tooth due to an accident or from periodontal disease, that one tooth can be replaced using a dental implant. Your new tooth will look and function just like your other natural teeth.

About Carnegie Dental Group Implant Centre

If you struggle with dental issues and can’t seem to find a solution that makes you happy, dental implants could be the right choice for you. Beyond the aesthetic appeal, many people find that the health benefits are an important factor when considering implants.

For example, did you know implants can help prevent bone loss in the jaw? The natural erosion of bone begins as soon as a tooth is lost, and if nothing is done, this may result in the loss of other teeth and could cause a “sunken” look in facial features.

A dental implant placement integrates with the bone, providing a stimulus that keeps the jawbone from deteriorating. This helps maintain a more youthful facial structure, boosts confidence—and leads to better oral health.

Dental implants could help improve overall health, too. With strong, full functioning teeth, patients can expand their diets and eat healthier foods again, like nuts and fruits.

You also should take into account the longevity of implants. When properly cared for, dental implants can last a lifetime, making them one of the best investments for long-term tooth replacement.

Of course, you can’t forget about some of the more common advantages of dental implants. Unlike dentures, they never slip or move—and you don’t have to use special cleaners and adhesives. Unlike fixed bridgework, dental implants don’t require adjacent healthy teeth to be filed down.

To better understand what makes the dental implant process the definitive solution for missing teeth, please feel free to visit us for a free consultation. Schedule yours today. You'll be amazed at what our dental technology and expert care can do for you.

Tooth replacement technologies Flipper Dentures (partial or full) Bridge Implants
Longevity 1-3 years 5-7 years 7-10 years Lifetime
Preservation of healthy adjacent teeth Yes Yes No Yes
Transmission of force to: adjacent teeth adj teeth/gums adjacent teeth bone
Prevent bone loss & preserve facial appearance No No No Yes
Requirement for periodic adjustments Yes Yes Yes No
Accelerated loss of adjacent teeth Yes Yes Yes No

Dental Implants can be placed in the same procedure as teeth are removed or using a delayed approach after the bone has healed following extraction of the tooth/teeth.

Dental Implants can be restored immediately at the time of placement or delayed following a healing time to enable the implant to fuse with the bone.

It all depends on which is the most predictable approach to long term success.

Carnegie Dental Implant Centre is a one stop shop for anyone who needs dental implants in Melbourne.

From your very first consultation including the Cone Beam CT scan, to your long term maintenance care, Carnegie Dental Implant Centre does it all.

Dental Implants can be placed under Local Anaesthesia or General Anaesthesia.

Contact Us

Frequently Asked Questions

  • The cost of dental implants will depend on a few factors, including the state of your natural teeth, whether you need multiple teeth implants or bone grafting, and your overall dental health.

    To determine this, we offer a free dental implants consultation that will enable us to assess the best treatment options for your needs.

    Once this has been completed, you will be presented with a quote based on what dental work needs to be done.

  • The cheapest alternative to dental implants is prevention, which ultimately means you should maintain a proper oral hygiene routine every day, in addition to regular dental check ups, at least every six months.

    However, if you require dental implant treatment, other alternatives might be suitable, including dental bridges, partial dentures, and gum disease treatments.

    Your dentist will advise you of the best course of action depending on the state of your oral health.

  • Although it is a surgical or invasive procedure, a dental implant procedure performed by experienced dentists should not be painful. This is because it will be performed under either local or general anesthesia, which will numb your mouth.

  • Dental implants look just like natural teeth. If they are well looked after, they can last over 20 years. Your dentist will be able to advise you on the best way to do that.

  • If you want to replace missing teeth, there are several benefits to having this type of cosmetic dentistry work done.

    One of the main ones is that an implant dentist can restore the natural appearance of your smile with even a single implant. Others include protecting your other teeth, preserving your jaw bone, providing your teeth with better stability, and helping you to eat more easily.